Our Pipeline
Advancing a diverse portfolio of AI-designed programs across small molecules, peptides, and traditional Chinese medicine, from early discovery through IND application.
The Science Behind Our Pipeline
Dive deeper into the science and technology behind our drug discovery process

HE staining score: Reflects the overall situation of tissue repair, inflammatory response, and structural integrity. Redder color indicates better granulation tissue formation.

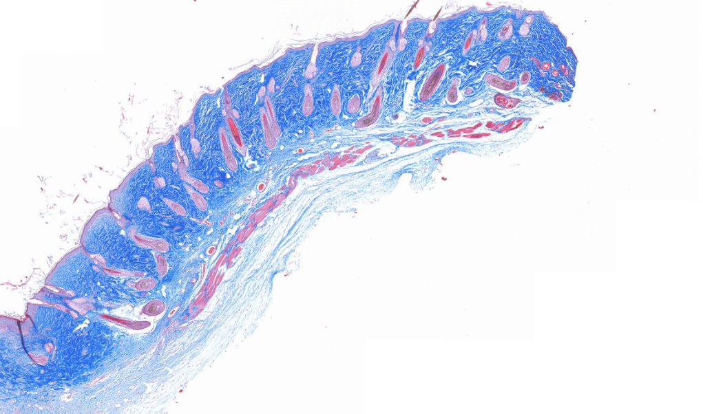
Masson staining (collagen deposition) results show significantly reduced collagen precipitation, indicating that the drug acts during skin repair with less fibrosis and less scar formation.

F4/80+CD206+ double-positive cell proportion results suggest: M2 macrophages have repair effects in the late stage of immune response. The drug significantly promotes M2 polarization, indicating that the drug's action on the mouse immune environment may tend toward repair and anti-inflammatory effects.

F4/80+CD45+ double-positive cell proportion results suggest: M1 macrophages may be related to inflammatory response or immune activity. The drug shows a trend of inhibiting M1 polarization.

Flow cytometry results show that the drug can significantly enhance macrophage M2 polarization and inhibit M1 polarization.

Immunofluorescence results show that the drug can significantly enhance macrophage M2 polarization and inhibit M1 polarization.

Western blot results show significant inhibition of macrophage NF-κB, PI3K/AKT, and NLRP3 inflammasome pathway signaling expression.
Our Pipeline
Advancing a diverse portfolio of AI-designed programs across small molecules, peptides, and traditional Chinese medicine, from early discovery through IND application.
Small Molecules - Diabetic Foot Ulcer Wound Healing
Class 1.2Discovery
Lead Optimization
Preclinical
IND-Enabling
IND
IND Application
Clinical Phase 1
Clinical Phase 2
Clinical Phase 3
Small Molecules - Diabetic Foot Ulcer Wound Healing
Class 1.1Discovery
Lead Optimization
Preclinical
IND-Enabling
IND
IND Application
Clinical Phase 1
Clinical Phase 2
Clinical Phase 3
Small Molecules - Alzheimer's Disease Program
Discovery
Lead Optimization
Preclinical
IND-Enabling
IND
IND Application
Clinical Phase 1
Clinical Phase 2
Clinical Phase 3
Peptides - Appetite Suppression / Weight Management
Discovery
Lead Optimization
Preclinical
IND-Enabling
IND
IND Application
Clinical Phase 1
Clinical Phase 2
Clinical Phase 3
Traditional Chinese Medicine - Epilepsy Program
Discovery
Lead Optimization
Preclinical
IND-Enabling
IND
IND Application
Clinical Phase 1
Clinical Phase 2
Clinical Phase 3